Navigation überspringen
  • Startseite
  • Labor
  • Leistungen
  • Galerie
  • Team
  • Publikationen
 
Navigation überspringen
  • Impressum
  • Kontakt
  • Datenschutzerklärung
 

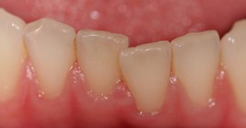
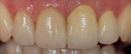
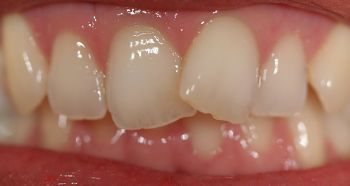
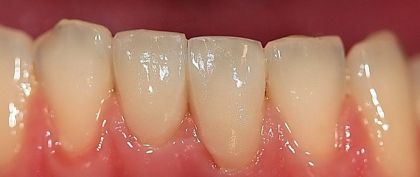
Veneers 11/21 und 31/41

Vorher

Nachher

Seite 3 von 5

  • Anfang
  • Zurück
  • 1
  • 2
  • 3
  • 4
  • 5
  • Vorwärts
  • Ende
Navigation überspringen
  • Galerie
  • Veneers
  • Zirkonkronen / -brücken
  • Implantate
  • Teleskopbrücken
  • Prettau auf Implantaten