Navigation überspringen
Startseite
Labor
Leistungen
Galerie
Team
Publikationen
Navigation überspringen
Impressum
Kontakt
Datenschutzerklärung
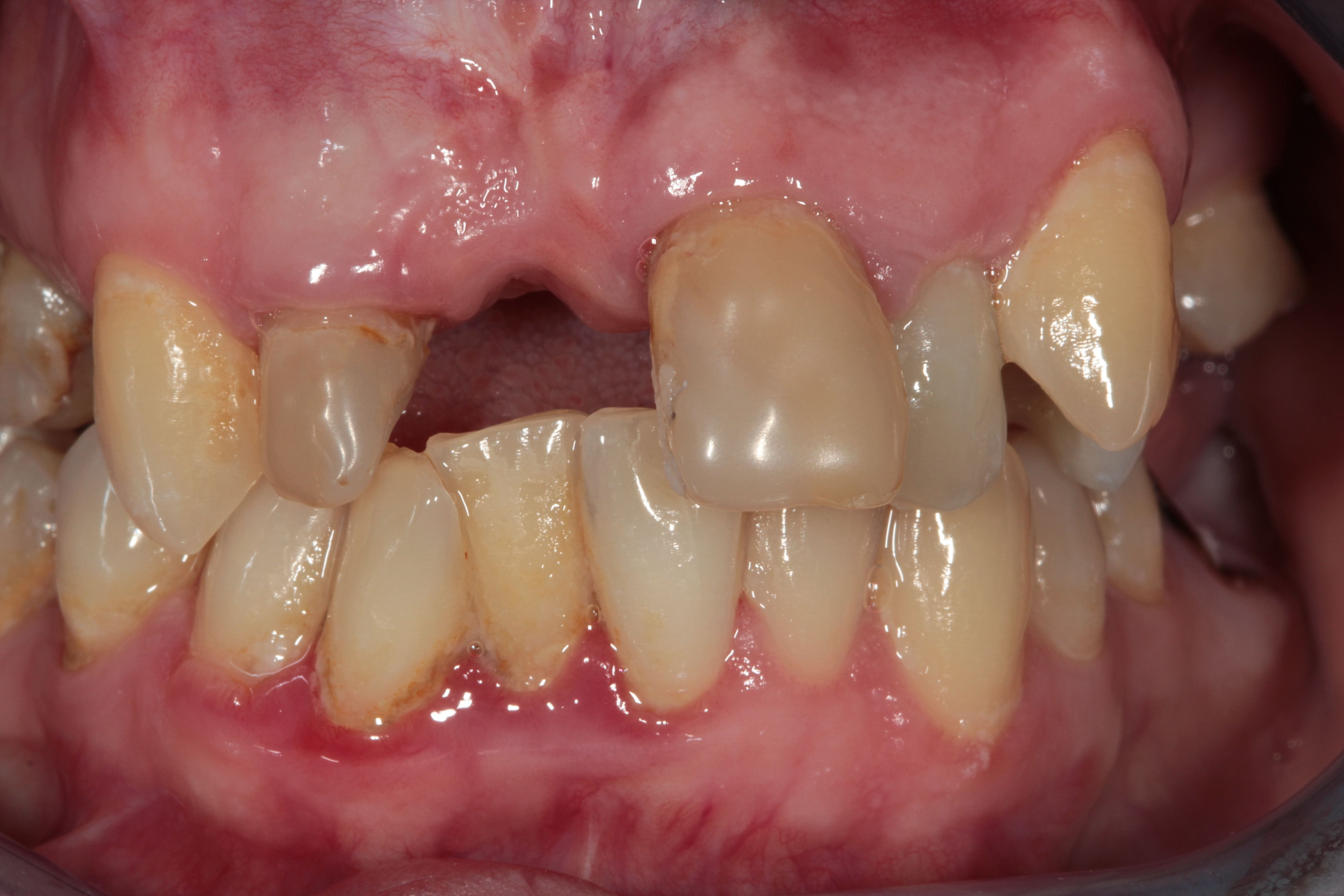
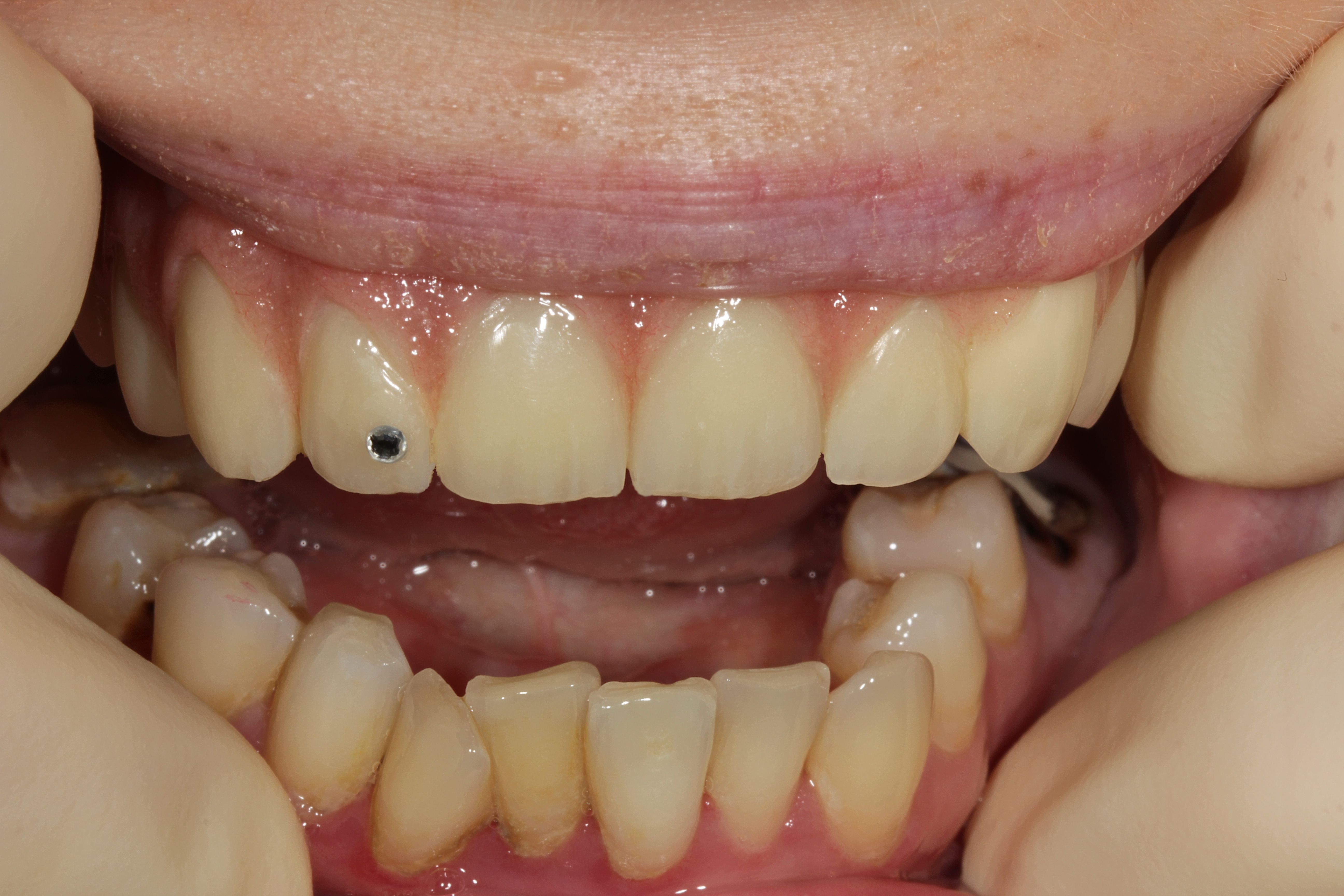
Teleskopbrücke
Vorher
Nachher
Seite 3 von 3
Anfang
Zurück
1
2
3
Navigation überspringen
Galerie
Veneers
Zirkonkronen / -brücken
Implantate
Teleskopbrücken
Prettau auf Implantaten