Navigation überspringen
Startseite
Labor
Leistungen
Galerie
Team
Publikationen
Navigation überspringen
Impressum
Kontakt
Datenschutzerklärung
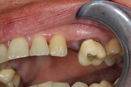
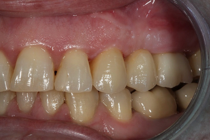
Zirkonbrücke 23-26
Vorher
Nachher
Seite 3 von 7
Anfang
Zurück
1
2
3
4
5
6
7
Vorwärts
Ende
Navigation überspringen
Galerie
Veneers
Zirkonkronen / -brücken
Implantate
Teleskopbrücken
Prettau auf Implantaten